微创胸腔镜协助我院心胸外科为巨大前纵隔畸胎瘤患者“拆弹”
作者: 浏览量:64207 发布时间:2023-04-07 05:26:10

日前,心胸外科赵志宏主任团队借助胸腔镜,为一位年仅17岁的前纵隔畸胎瘤患者成功实施微创手术,巧妙摘除直径约8.0厘米肿瘤,在解除致命威胁同时,还避免了传统切口的创伤和长疤痕。
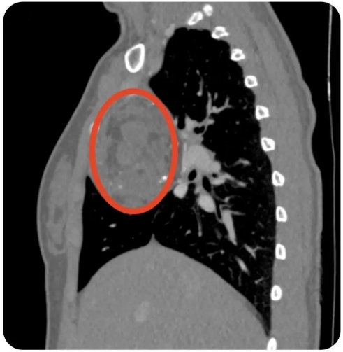
一个月前,17岁的小刘,经体检CT检查发现胸腔有一直径约8.0厘米的肿瘤。“一点感觉都没有,怎么会生这么大的肿瘤?”小刘在家属的陪伴下,一家人心急如焚地找到鄂州市中心医院心胸外科赵志宏主任。
赵主任根据肿瘤部位及影像学特征,考虑最常见的情况就是畸胎瘤。“小刘的肿瘤巨大且位置较深,紧贴心脏、上腔静脉、头臂静脉等重要器官及血管,容易出现判断差错造成误损伤,且部分区域无法到达,要将深藏在狭窄缝隙中的肿瘤摘除,手术过程堪比拆弹”,赵志宏主任说。经过综合考量,胸外科赵志宏主任团队决定开展微创胸腔镜纵隔肿瘤切除术,这样可以避免胸骨切开,同时为手术操作提供了宽阔清晰的视野。

经过精心的准备,一场高难度的手术如期展开。在放大3倍以上的清晰视野下,巨大的肿瘤赫然显露在面前。赵志宏主任迅速确认手术部位,小心翼翼将肿瘤逐渐从心包、上腔静脉、头臂静脉上游离出来。经过1个多小时的奋战,小刘的纵隔肿瘤被完整切除下来了。小刘的侧胸壁仅留下2个长约3cm大小的切口。整个手术过程及术后患者生命体征平稳。
畸胎瘤来源于胚胎性腺的原始生殖细胞,是最常见的生殖细胞肿瘤。大多数由多胚层组织构成,偶见只含一个胚层成分,多为良性。好发于生殖腺及身体中线位置,最多见于卵巢、睾丸、骶尾部、纵膈、腹膜后等部。本病常发生于儿童及青年妇女。
据赵志宏主任介绍,胸腔镜三维视觉可放大3倍以上,解剖结构暴露清晰,使手术精确度大大增加。同时,灵活的腔镜器械可在胸腔狭小空间内进行精细操作,能以不同角度在器官周围操作,减轻术者疲劳,极大地提高精确度。胸腔镜手术还避免了以往巨大肿瘤的胸部正中大切口,可以实现极致的微创,减少手术创伤和疼痛,具有美观、创伤小、疼痛轻、恢复快的优点,手术安全性、成功率提高,同时极大的缩短患者的住院时间,使患者获益。
2010年,鄂州市中心医院成立心胸外科专业病区后,胸腔镜手术业务得到了长足的发展。目前已经常规开展了手汗症、肺、食管、纵膈病变等各种胸外科疾病的胸腔镜手术治疗,90%以上日常手术量都在微创胸腔镜下进行。随着技术的进步,目前已经利用胸腔镜手术开展了多例疑难、急诊危重胸部病变及胸外伤病人救治,并取得了良好效果。
联系
Contact
地点:湖北省鄂州市鄂城区文星路9号
院办公室电话:027-60660777(工作时间)
院办公室电话:027-60660668(非工作时间)
体检中心:027-60660655
投诉中心:027-60660637
门诊导诊台:027-027-60660537